Ngày nay Việt Đức Hồ Chí Minh là một trung tâm y tế chuyên sâu về khám chữa bệnh cơ xương khớp đặc bệnh về bệnh hoại tử chỏm xương đùi, được trang bị đầy đủ trang thiết bị y tế cũng như đội ngũ y bác sĩ có trình độ chuyên môn rất cao. Với cơ sở vật chất to đẹp, khang trang, hoàn toàn đáp ứng rất tốt nhu cầu khám chữa bệnh xương khớp của nhân dân, Đơn vị hiện đang nằm tại số 359 đường Trần Hưng Đạo, Phường Cầu Ông Lãnh, Hồ Chí Minh. Theo các bác sĩ Giáo sư, Phó giáo sư, Tiến sĩ, bác sĩ chuyên khoa cấp II, Thạc sĩ và Bác sĩ chuyên khoa sau đại học chia sẻ về bệnh hoại tử chỏm xương đùi được hiểu như sau
Hoại tử chỏm xương đùi là bệnh thường gặp, khó chữa, dễ tái phát nếu lựa chọn phương án điều trị không hiệu quả.
Vì vậy, Cơ xương khớp Việt Đức - Hồ Chí Minh cung cấp một bài đầy đủ thông tin về bệnh hoại tử chỏm xương đùi, giúp cho bệnh nhân có thể lựa chọn được phương pháp điều trị đúng đắn cho bệnh lý này.

Cơ xương khớp Việt Đức - số 359, Trần Hưng Đạo, Phường Cầu Kho, Quận 1, Hồ Chí Minh
Hoại tử chỏm xương đùi đang có xu hướng tăng nhanh và trẻ hóa độ tuổi mắc bệnh. Là căn bệnh nguy hiểm nguy cơ dẫn đến tàn tật cho người mắc bệnh nhưng lại có những biểu hiện rất âm thầm, dễ nhầm lẫn các bệnh khác.
1. Hoại tử chỏm xương đùi là gì?
Chỏm xương đùi là thành phần cấu tạo lên khớp háng, chỏm xương đùi hình dạng 2⁄3 khối cầu có hướng lên trên và vào trong.
Hoại tử chỏm xương đùi hay còn gọi là hoại tử vô mạch chỏm xương đùi, nguyên nhân do thiếu máu nuôi dưỡng. Dẫn tới tình trạng xương hoại tử tổ chức xương và sụn, lúc đầu vùng chỏm xương thưa dần, hình thành các ổ khuyết xương về sau dẫn tới gãy xương dưới sụn và cuối cùng gây ra xẹp chỏm xương đùi, mất chức năng khớp háng dẫn đến tàn phế.

Hình ảnh: Hoại tử chỏm xương đùi
Bệnh hoại tử chỏm xương đùi không do căn nguyên vi khuẩn nên còn có cách gọi khác là hoại tử vô khuẩn chỏm xương đùi.
2. Nguyên nhân và yếu tố nguy cơ bệnh hoại tử chỏm xương đùi
Các nguyên nhân gây bệnh
- Do chấn thương khớp háng trật khớp hay gãy cổ xương đùi
- Lạm dụng rượu bia, thuốc lá là nguyên nhân chủ yêu gây ra hoại tử chỏm xương đùi. Do sử dụng nhiều rượu bia, thuốc lá làm tổn thương gây viêm mạch máu mạn tính và làm tắc các mao mạch nuôi dưỡng chỏm xương đùi dẫn tới hoại tử chỏm
- Bệnh lý tự miễn như viêm khớp dạng thấp, lupus ban đỏ...
- Lạm dụng các thuốc có chứa corticoid
- Bệnh lý tăng đông và tắc mạch tự phát
- Bệnh nghề nghiệp như công nhân làm thợ mỏ, thợ lặn
Các yếu tố liên quan
- Tuổi tác bệnh có xu hướng tăng theo tuổi
- Chủ yếu gặp ở nam giới
- Mắc các bệnh mạn tính như đái tháo đường, tăng huyết áp, rối loạn chuyển hóa lipid, acid uric...

Nếu không chữa trị kịp thời có thể dẫn đến bại liệt hoặc tàn phế
Đái tháo đường cũng là yếu tố nguy cơ dẫn đến bị hoại tử chỏm xương đùi
3. Triệu chứng hoại tử chỏm xương đùi
Là bệnh diễn biến âm thầm, ít biểu hiện triệu chứng rầm rộ.
Các triệu chứng có thể nhận biết bao gồm:
- Đau vùng khớp háng là triệu chứng chính và xuất hiện sớm. Cơn đau xuất phát từ mặt trong vùng bẹn lan xuống mặt trong đùi hoặc có khi thấy đau vùng mông. Ngoài ra nhiều người bệnh xuất hiện đau ở khớp gối, nên dễ bị chẩn đoán nhầm.
- Đau có thể xuất hiện ở một bên hay cả hai bên khớp háng, đau tăng lên khi vận động đi lại hay đứng lâu, nghỉ ngơi thì đỡ đau
- Hạn chế vận động khớp háng đau xuất hiện làm vận động khớp háng khó nhất là động tác xoay trong, xoay ngoài, dạng và khép. Người bệnh thường khó khăn trong việc ngồi xổm hoặc không thể ngồi xổm được.
- Đến giai đoạn sau người bệnh đau tăng nhiều, hạn chế hầu như các vận động khớp háng bao gồm cả động tác gấp, duỗi.
4. Các biện pháp chẩn đoán bệnh hoại tử chỏm xương đùi
Khi chẩn đoán bệnh dựa vào các biểu hiện lâm sàng trên kết hợp với người bệnh có yếu tố nguy cơ cao như tuổi, có tiền sử chấn thương khớp háng, sử dụng nhiều rượu bia, thuốc lá, mắc các bệnh nội khoa mạn tính ( đái tháo đường, rối loạn chuyển hóa, tăng huyết áp...)...để có hướng chẩn đoán bệnh hoại tử chỏm xương đùi.
Chẩn đoán xác định dựa vào các phương pháp cận lâm sàng
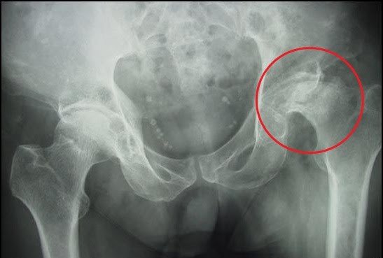
- X quang: Bao gồm phim chụp X quang khớp háng thẳng và nghiêng, xquang khớp háng kiểu đùi chếch là phương tiện đầu tiên được lựa chọn để chẩn đoán hoại tử chỏm xương đùi.
Hình ảnh: Nhẹ thấy hình ảnh xương thưa, thường thấy xẹp chỏm từ nhẹ đến nặng, nặng nhất là thấy mất một phần hoặc hoàn toàn chỏm, hình ảnh hẹp khe khớp.

Hình ảnh hoại tử chỏm xương đùi qua phim chụp Xquang
- Phim MRI (cộng hưởng từ): Khi hình ảnh trên phim x quang không rõ, hay chưa đủ để chẩn đoán bệnh thì cho người bệnh chụp cộng hưởng từ MRI là phương tiện chẩn đoán sớm và chính xác hoại tử chỏm xương đùi.
5. Cách chữa hoại tử chỏm xương đùi, xương háng không phải ai cũng biết
Ưu điểm của phương pháp hiện đại tại chuyên khoa
- Điều trị đạt hiệu quả cao, lâu dài
- An toàn, không tác dụng phụ
- Không xâm lấn vết thương, không đau, không chảy máu
- Thời gian điều tri ngắn, chỉ diễn ra trong khoảng 15- 20 phút -
- Không nằm viện, Không ảnh hưởng đến sinh hoạt và công việc của bệnh nhân
Bên cạnh đó, bệnh nhân sẽ được kết hợp uống thuốc y học cổ truyền để bổ sung xương khớp, nâng cao khí huyết ,điều trị tận gốc căn nguyên của bệnh, hạn chế bệnh lý tái phát về sau. Nhiều bệnh nhân chỉ cần điều trị 1 -3 lần là khỏi triệt để. Đặc biệt thời gian điều trị chỉ trong vòng 30 phút, bệnh nhân có thể ra về ngay mà không cần nằm viện, do vậy bệnh nhân vẫn tiến hành điều trị mà công việc hàng ngày không bị gián đoạn.
Chuyên khoa cơ xương khớp Việt Đức Hồ Chí Minh – địa chỉ chuyên chữa bệnh hoại tử chỏm xương đùi hiệu quả
Chuyên khoa cơ xương khớp Việt Đức Hồ Chí Minh chính là một trong những cơ sở y tế chuyên khoa mà bệnh nhân nên tìm đến khi cần chữa trị bệnh hoại tử chỏm xương đùi. Phòng khám có những phương pháp điều trị bệnh tiên tiến, kết hợp với những ưu điểm vượt trội về chất lượng dịch vụ y tế, hứa hẹn đem lại sự hài lòng cho bệnh nhân.
Cơ Xương Khớp Việt Đức đã mời những bác sĩ đầu ngành tốt nhất để hỗ trợ khám chữa bệnh, ngoài ra chúng tôi còn xây dựng hệ thống đặt hẹn trực tuyến, giảm thời gian chờ đợi khi khám chữa bệnh.
- Được Sở Y Tế thành phố xét duyệt và cấp giấy phép hoạt động chính quy.
- Đội ngũ bác sĩ, y tá giàu kinh nghiệm, tận tình đã và đang công tác tại các bệnh viện nổi tiếng.
- Hệ thống máy móc, trang thiết bị y tế hiện đại được nhập từ Hàn Quốc, Mỹ, Đức, …
- Môi trường phòng khám rộng rãi, hiện đại giúp người bệnh thoải mái để điều trị bệnh và tịnh dưỡng.
- Hồ sơ bệnh án và thông tin về người bệnh được bảo mật nghiêm ngặt, tránh việc tiết lộ thông tin ra bên ngoài.
- Quy trình hoạt động thăm khám và chữa trị bệnh khép kín 1 Bác sĩ – 1 bệnh nhân để đảm bảo hiệu quả tốt nhất.
- Chi phí khám và chữa trị bệnh công khai, minh bạch theo đúng giá niêm yết của Sở Y Tế.
- Thời gian làm việc liên tục từ 8h00 – 20h00 tất cả các ngày trong tuần, kể cả chủ nhật và lễ tết


– Đó là những tiêu chí giúp bệnh nhân luôn tin chọn Chuyên khoa cơ xương khớp Việt Đức Hồ Chí Minh là bệnh viện chuyên khoa xương khớp uy tín, chất lượng đạt chuẩn quốc tế. Trong thời gian qua,chuyên khoa đã đón tiếp hàng ngàn bệnh nhân đến thăm khám và hỗ trợ điều trị bệnh từ khắp nơi, với hiệu quả khỏi bệnh và không tái phát lên đến 99%.
– Chuyên khoa cơ xương khớp Việt Đức Hồ Chí Minhkhuyến khích quý bệnh nhân đăng ký lịch khám trước để tránh mất thời gian chờ đợi, được chọn khung giờ khám phụ hợp. Đặc biệt, mọi người sẽ nhận được ưu đãi hấp dẫn, giúp tiết kiệm một phần nào chi phí.
Nếu có bất cứ thắc mắc gì về bệnh xương khớp hoặc cần tư vấn hỗ trợ, xin vui lòng liên hệ qua Hotline: 076 3583 888 hoặc đến trực tiếp địa chỉ Cơ khoa xương khớp Việt Đức - số 359 đường Trần Hưng Đạo, Phường Cầu Ông Lãnh, Hồ Chí Minh
Địa chỉ tin cậy để khám chữa các bệnh về xương khớp
Phòng khám xương khớp việt đức?
-
Cơ sở vật chất khang trang, hiện đang ngang tầm “bệnh viện khách sạn”
-
Đội ngũ giáo sư, bác sĩ giỏi trực tiếp khám
-
Cơ sở vật chất tiện nghi, thiết bị hiện đại
-
Chi phí khám hợp lý, chỉ từ 100.000đ
-
Áp dụng bảo hiểm y tế và các bảo hiểm khác
-
Chăm sóc khách hàng chu đáo


Tôi có đưa bố tôi đến khám và điều trị cách đây 3 năm, hiện sức khỏe của bố tôi rất tốt và không còn tình trạng đau, rất cảm ơn đội ngũ y bác sỹ tại chuyên khoa đã tận tình điều trị
Dầu gối của cháu xưng to và đau 2 năm nay dó đá bóng, hút dịch ở bệnh viện 2-3 lần nhưng về vẫn như cũ uống thuốc kháng sinh cũng k đỡ may có cô Hiên đi chữa ở phòng khám mách, hiện cháu đã điều trị xong và không còn xưng đau – xin cảm ơn phòng khám
địa chỉ khám bệnh uy tín, nên đến khám, y bác sĩ cũng rất nhiệt tình không cần chờ đợi lâu không như vào viện công
Mình có qua chuyên khoa điều trị cách đây hơn 2 năm,trước đó mình đã điều trị vật lý trị liệu, đông tây y nhưng không đỡ, sau khi điều trị tại chuyên khoa mình không còn cảm giác đau nhức và tê bì,cam kết bảo hành hiệu quả rất uy tín,mọi người nên đến chuyên khoa để điều trị.
Tôi chữa nhiều nơi lắm rồi, đi bạch mai việt đức khám giáo sư lấy đơn thuốc đủ cả không khỏi. Điều trị được như hôm nay biết ơn phòng khám rất nhiều
T ghét nhất đi khám bệnh mà gặp điều dưỡng hạnh họe bệnh nhân, đên pk được quan tâm, đieỳ trị nhiệt tình là thấy hài lòng rồi
Điều trị được 4 buổi rồi, giwpf cũng đỡ được đến 80-90% tưởng khỏi đên snois rồi, bs khuyên đi đủ liệu trình mong cho dứt điểm hẳn đây
T bị chèn tê hết 10 đầu ngón tay, cầm bát cơm k nổi đây, đi đâu chạy chữa chỉ mong dứt cái bệnh oái oăm này đi, may đi điều trị ở đaqay không chắc giờ cứng còng cả 2 bàn
Tôi đả khám chửa bệnh tại chuyên khoa,hiệu quả đạt được hơn cả mong muốn, ban đầu tôi dất đau chỉ mong muốn hỗ trợ giảm đau, tuy nhiên chuyên khoa đã điều trị dất ổn định bệnh lý cho tôi,hiện đã 4 năm, tôi dất cảm ơn đội ngũ y bác sỹ tại chuyên khoa, sẽ giới thiệu thêm nhiều người tình trạng bệnh lý như tôi đến thăm khám và điều trị
Cái vai của tôi khi chưa điều trị ở đây nó bị xệ, không trải tóc được và buốt nhất là lúc trời trở rét, cũng chỉ mong chữa đỡ được 2-3 phần để ngủ ngon được 1 giấc nhưng sau đi hết 6 buổi vai tôi đỡ 8 phần, tôi mang ơn phòng khám nhiều
Tôi muốn chụp ở bệnh viện rồi mang phim tới nhờ các bác xem rồi điều trị vậy có được không
bố mẹ tôi ở hải dương lên điều trị được 3 buổi về ông bà ngủ ngon hản vì cơn đau không hành hạ nữa- nhưng phòng khám buổi sáng hơi đông ông bà phải đợi mong phòng khám mở rộng thêm để người bệnh lên không cần chờ đợi.
Tôi chữa nhiều nơi nhưng thấy cách chăm sóc bệnh nhân ở đây hơn hẳn từ lễ tân cho đến BS đều rât ăn cần về nhà có người gọi hỏi thăm và nhắc thêm về bệnh- tôi rất hài lòng
Mới được 2 hôm đến chữa nhưng cái dầu gối của tôi đã đỡ sưng hơn so với trước, đi lên cầu thanh cũng dễ hơn giá mà biết sớm hơn tôi đã không mất ngủ vì đau mấy tháng trời qua
mẹ tôi đã can thiệp mổ nhưng thất bại. sau đó qua chuyên khoa điều trị. thấy ổn định rõ sau từng buổi, hiện sức khỏe đã tốt lên nhiều, cảm ơn chuyên khoa tư vấn và khám chữa tân tình.
Tôi đang điều trị bệnh lý viêm khớp gối và tràn dịch khớp gối 2 bên, điều trị có hiệu quả, cải thiện nên tôi đang điều trị thêm thoát vị đĩa đệm.
Đã điều trị nhiều nơi như châm cứu, bấm huyệt,đông tây y nhưng qua đây điều trị bằng công nghệ cao thấy hiệu quả rõ rệt hơn hẳn.
Hiện tại tôi bị thoát vị đĩa đệm lưng kèm thoái hóa, đi lại khó khăn, tê bì nhiều hy vọng phòng khám hỗ trợ điều trị dứt điểm k tái trở lại
Yên tâm điều trị vì có bảo hành và xuất được hóa đơn đỏ
Đã chữa được thoát vị lưng cách đây 2 năm và k thấy có dấu hiệu đau lại. nên giới thiệu cho nhiều người qua địa chỉ này khám
Bệnh tôi khá nặng .chưa thấy ổn hẳn nhưng đã dễ chịu dần thì cũng yên tâm hơn
Thấy có bảo hành nên qua điều trị xem sao.
Tôi ở hà tĩnh đến điều trị , ban đầu lo lắng nhưng sau vài buổi thấy đỡ hơn nhiều, sẽ theo hết liệu trình để ổn hẳn
- Thấy bác sĩ khám kỹ, tận tình , giải đáp được những băn khoăn của bệnh nhân, sẽ theo 1 đợt để trải nghiệm
cám ơn phòng khám các bác sỹ rất nhiệt tình , tôi cũng đáp ứng tốt điều trị 2 buổi đã đỡ 80% vậy mà đi khắp nơi điều trị không khỏi
tôi đã đến điều trị ở đây , dịch vụ chất lượng rất tốt.
cả tôi và bà nhà tôi đều đang điều trị tại đây , thấy rất hiệu quả sau điều trị không đau làm việc nhẹ nhàng hơn nhiều
cám ơn đóng góp các y bác sỹ điều trị , y tá hiền làm việc rất nhiệt tình
Bác sỹ Văn khám bệnh rất tỉ mỉ chu đáo tôi được nhiều người giới thiệu đến đây , họ đều điều trị khỏi
Sáng mai tôi qua điều trị lần 2 các bác sỹ
tôi ở xa đến nhưng được hỗ trợ hướng dẫn chu đáo
nếu giới thiệu thêm nhiều người qua điều trị không biết có đủ chỗ để nằm không các bác sỹ
2 bác sỹ ở phòng kim siêu vị rất nhiệt tình và vui vẻ, hài hước làm rất nhẹ nhàn và dễ chịu không đau
Tôi thường đến buổi trưa do công việc bận rộn nhưng các bác sỹ rất ân cần và chăm sóc chu đáo
Mẹ em đau đến mức cứ mỗi lần trái gió là đau phát khóc tìm hiểu được trên mạng thử đến xem sao nhưng sau 2 hôm mẹ đỡ đau hẳn giờ đang đi theo liệu trình mấy hôm nay gió lạnh về nhưng không thấy mẹ nói đau nữa- cảm ơn các bác sỹ nhiều lắm
Trước đây tôi bị thoát vị lưng đi lại rất khó khăn và tê buốt,nhờ có phòng khám hiện tại bệnh lý của tôi rất ổn định,cảm ơn đội ngũ y bác sỹ đã tận tình chăm sóc và điều trị,tôi sẽ giới thiệu thêm nhiều bệnh nhân giống như tôi đến
Phí khám, chữa bệnh như thế nào bạn?
Tôi rất biết ơn phòng khám đã tận tình chữa bệnh,hiện tại tôi đã ổn định bệnh lý thoát vị lưng được 5 năm,tôi sẽ giới thiệu thêm nhiều người đến
Chi phí một ca phông đĩa đệm cHi phí hết bao nhiêu Tiền vậy BS
Tôi bị tràn dịch khớp gối trái , thoái hóa vôi gai khớp gối 18 năm nay. đi lại rất khó khăn. Tôi cũng được các bác sĩ ở đây thăm khám rất tận tình. điều trị được 3 buổi, tôi thấy đi lại bình thường được khoảng 90%. bệnh thuyên giảm đỡ đau được khoảng 40%. hiện tôi vẫn đang trong quá trình điều trị...có kết quả tôi sẽ lại gửi bình luận thêm.
Mình bị thoát vị đĩa đệm 4 đốt sống cổ từ C4-C7, rách bao sơ đĩa đệm nên bị đau đầu, tê bì tay chân, ngón tay cái bị xưng viêm đa khớp dạng thấp . mình có qua phòng khám điều trị được 4 buổi , nay là buổi thứ 5. cũng hy vọng khỏi được . có kết quả mình sẽ phản hồi. hiện tại bệnh chưa có sự tiến triển nhiều.
Xin tham khảo chi phí chữa bệnh đĩa đệm a
cho minh tham khảo chi phí chữa bệnh ntn
Bác cho xin ý kiến e cũng mới chụp bị thoát vị đĩa đệm l2 l3 l4 l5 cũng đang muốn sang đó thăm khám các bác ai đã từng điều trị cho e xin chút đóng góp
Chi phí khám chữa bệnh như thế nào bạn?
Tôi bị tê bì tay khoảng 1 năm nay thường bị vào khoảng từ 10giờ tối đến sáng mình bác sĩ giúp tôi chữa hết tê bì tay xin cảm ơn.
Địa chỉ tốt, thời gian tới sẽ đưa bố đến khám.
Sáng nghủ dậy tôi bị tê bì bàn tay trái, sau 02 ngày vẫn còn cảm giác tê bì, vuốt nhẹ dọc xương từ cổ tay lên cánh tay có cảm giác hơi đau?
Tôi đang điều trị thoái hóa cột sống, phình đĩa đệm, mới được 1 buổi tình trang tê bì chân giảm 1 chút. Còn 5 buổi nữa, chưa biết khỏi không
Con trai tôi năm nay 20tuoi bị đau khớp háng một bên đi khám thì họ bảo bị viêm cột sống dính khớp. Xin hỏi có điều trị được không
Tôi bị viêm đa khớp dạng thấp đã lâu,và bị dính khớp,điều trị rất nhiều chưa thấy hiệu quả.jo thì rất đau ạ.mong BS tư vấn
Người nhà tôi bị trượt đốt sống thắt lưng điều trị bằng pp gì hiệu quả và chi phí bao nhiêu tiền?